新闻 凝血
vWF检测在ADAMTS13检测延迟背景下对TTP的早期诊断价值
十月 24, 2025
引言
血栓性血小板减少性紫癜(TTP)是一种以ADAMTS13活性缺乏导致超大分子vWF(UL-vWF)沉积为核心机制的血栓性微血管病,其诊断金标准为ADAMTS13活性检测(<10%),但该检测常因外送或技术限制延迟。在此背景下,血管性血友病因子(vWF)活性与抗原检测可通过反映UL-vWF代谢失衡,为早期临床决策提供关键实验室证据。本文基于1例典型TTP病例,系统探讨vWF检测在ADAMT13检测延迟时的临床意义。
案例经过
01临床资料与病史
患者,男,61岁,因“恶心呕吐、腹痛腰痛1周,意识障碍”于2024年12月24日入院。患者既往体质较差,否认慢性病史及家族遗传病史。1周前(12月15日)进食酸菜饼后出现恶心、呕吐、伴腹痛,腰背部疼痛。
12月17日外院查

骨髓穿刺提示:血小板减少骨髓象。予抗感染(奥硝唑+头孢甲肟)、止血(氨甲环酸)及及对症支持治疗(脱氧核苷酸升血,法莫替丁抑酸护胃,地塞米松)后症状未缓解。
12月24日病情进展:出现心前区疼痛,恶心呕吐,意识躁动、问话不答,急诊转入我院。入院查体:高热体温;神经系统查体示躁动状态,双侧瞳孔等大等圆,对光反射迟钝;皮肤黏膜可见散在瘀点,巩膜轻度黄。
02诊断与实验室检查
(1) 临床初步诊断与PLASMIC评分
患者存在“血小板减少(PLT 16×10⁹/L)+微血管病性溶血性贫血(MAHA)+神经精神症状+肾功能损害”四联征,符合TTP典型临床表现。PLASMIC评分(具体细节见下表), 评分结果为7分,TTP高度可能,需立即进行血浆置换,送检血管性血友病因子裂解酶(ADAMTS 13)检测,立即向家属告知患者病情,表示患者病情危重,死亡风险高。
PLASMIC评分表

(2)vWF检测结果有助于即时决策
因ADAMTS13活性检测需外送(预计48小时回报),急诊优先完成vWF检测(2小时内报告):
- vWF抗原(vWF:Ag)182.3%(参考范围:50%-150%),提示内皮细胞激活,vWF释放增加;
- vWF活性(vWF:Act)96.5%(参考范围:50%-150%),反映vWF与血小板GPⅠb的结合能力;
- vWF活性/抗原比值0.53(正常参考比值≈1.0),提示UL-vWF未被ADAMTS13有效裂解,小分子vWF相对消耗,符合TTP特征性代谢失衡。
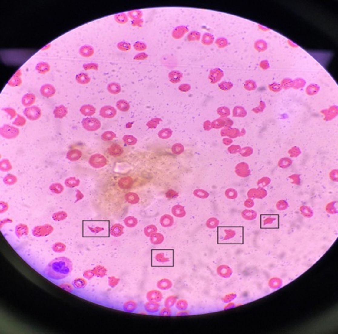
结合外周血涂片可见红细胞碎片(裂红细胞比例3.5%,图1),临床于ADAMTS13结果回报前启动血浆置换治疗。
(3)ADAMTS13结果确认诊断
48小时后ADAMTS13活性检测回报4.5%(参考范围:>65%,<10%符合TTP确诊标准),ADAMTS13抑制性抗体阴性(ELISA法,检测下限<0.4BU/mL),提示遗传性TTP可能(需后续基因检测验证)。
实验室检查结果


图1、患者外周血裂红细胞
03
治疗与转归
根据实验室检查及患者的临床表现,患者确诊TTP,即刻进行血浆置换、抗感染、对症支持治疗。
予每日3000mL新鲜冰冻血浆置换(连续4天)联合甲泼尼龙500mg/d冲击及丙球治疗,并根据血培养予美罗培南抗感染(后调整为头孢哌酮舒巴坦);治疗后患者意识障碍缓解,乳酸脱氢酶(LDH)由2156U/L降至1560U/L,但血小板计数持续低下(出院前PLT 8×10⁹/L),提示难治性TTP可能,预后不良风险高。
总结
本例TTP患者的诊疗过程的体会:
1.病史与临床表现是诊断基础:患者既往体质较差,感染(血培养阳性)可能为TTP诱发因素,需结合诱因评估病情;
2.PLASMIC评分快速锁定高危人群:7分(高度可能)为急诊启动治疗提供临床依据;
3.vWF检测是ADAMTS13检测延迟时的关键补充:vWF活性/抗原比值0.53在ADAMTS13结果回报前,即通过反映UL-vWF代谢失衡,为临床决策提供实验室证据,避免因等待金标准结果延误治疗。
知识拓展
01vWF活性/抗原比值是TTP的“代谢指纹”
TTP核心病理为ADAMTS13活性缺乏(本例4.5%)导致超大分子vWF(UL-vWF)沉积,消耗小分子vWF,表现为vWF抗原升高(内皮代偿性释放,本例182.3%)而活性相对不足(小分子vWF减少,本例96.5%),活性/抗原比值降至0.53(正常≈1.0)。该比值<0.6时诊断TTP的特异性达90%-95%,可有效鉴别溶血尿毒综合征(HUS,比值多正常)、弥散性血管内凝血(DIC,以PT延长、Fib降低为特征)。
02与ADAMTS13的“时效性互补”关系
ADAMTS13活性检测(金标准,<10%确诊)回答“是否为TTP”(特异性),但受限于检测耗时(外送标本常>48小时);vWF活性/抗原比值(2小时回报)回答“是否需紧急治疗”(时效性),如本例比值0.53+PLASMIC高风险,可直接启动血浆置换。动态监测比值回升(如>0.8)可与血小板计数、LDH共同评估疗效,形成“快速筛查-实验室验证-疗效监测”的闭环管理。
结语
在ADAMTS13检测延迟的临床现实下,vWF活性/抗原比值是反映TTP病理本质的“代谢指纹”,联合PLASMIC评分可显著缩短诊断时间,为“时间就是生命”的TTP诊疗提供关键实验室-临床协同依据。
本文从选题构思到最终成文,全程得到了刘永娥老师的悉心指导。她严谨的治学态度与深刻的专业洞见,为本文的质量提供了坚实保障。在此,谨致以最诚挚的谢意。
本文作者:姜威
硕士,副主任技师
大连医科大学附属第二医院检验科急诊组技术助理;
中国医药教育协会血栓与止血危重病专业委员会青年委员;
辽宁省细胞生物学学会检验与细胞学研究专业委员会理事;
2022年于华中科技大学同济医学院附属同济医院血栓与止血实验室进修。
发表SCI 论文3篇,中文文章6篇;参编专业著作2部;承担院内1+X项目。2024年获得中华医学会检验医学分会第四届全国青年教师讲课比赛第三名;2025年获中华医学会血液学分会血栓与止血学组“酶新木秀”案例大赛“优秀病例奖”。
参考文献:
[1] 李家增,贺石林,王鸿利.临床血栓病学[M].上海交通大学出版社,2014.
[2] 中华医学会血液学分会血栓与止血学组.血栓性血小板减少性紫癜诊断与治疗中国专家共识(2012年版)[J].中华血液学杂志, 2012, 33(11):2.DOI:10.3760/cma.j.issn.0253-2727.2012.11.025.
[3] 郑昌成,吴竞生.血栓性血小板减少性紫癜的诊治现状与进展[J].中华血液学杂志, 2011, 32(9):4.DOI:10.3760/cma.j.issn.0253-2727.2011.09.020.
[4] 中华医学会血液学分会血栓与止血学组.血栓性血小板减少性紫癜诊断与治疗中国指南(2022版) [J].Chinese Journal of Hematology, 2022, 43:7 - 12.DOI:10.3760/cma.j.issn.0253-2727.2022.01.002.
[5] Zheng XL, Vesely SK, Cataland SR, Coppo P, Geldziler B, Iorio A, Matsumoto M, Mustafa RA, Pai M, Rock G, Russell L, Tarawneh R, Valdes J, Peyvandi F. ISTH guidelines for the diagnosis of thrombotic thrombocytopenic purpura. J Thromb Haemost. 2020 Oct;18(10):2486-2495. doi: 10.1111/jth.15006. Epub 2020 Sep 11. Erratum in: J Thromb Haemost. 2021 May;19(5):1381. doi: 10.1111/jth.15304. PMID: 32914582; PMCID: PMC8146131.
[6] 殷杰,余自强.《血栓性血小板减少性紫癜诊断与治疗中国指南(2022年版)》解读[J].中华血液学杂志, 2022, 43(1):3.DOI:10.3760/cma.j.issn.0253-2727.2022.01.004.
留下您的联系方式。
werfenchina@werfen.com
电话: +86-10-5975-6055